
Zawroty głowy: przyczyny i objawy, które mogą zaskoczyć każdego
Zawroty głowy: przyczyny i objawy mogą być zaskakujące. Dowiedz się, co je wywołuje i jak je rozpoznać, aby skutecznie zadbać o swoje zdrowie.
Zawroty głowy: przyczyny i objawy, które mogą zaskoczyć każdego
Zawroty głowy: przyczyny i objawy mogą być zaskakujące. Dowiedz się, co je wywołuje i jak je rozpoznać, aby skutecznie zadbać o swoje zdrowie.
Rwa barkowa objawy: Jak rozpoznać ból i uniknąć powikłań
Poznaj objawy rwa barkowa i dowiedz się, jak je rozpoznać oraz uniknąć powikłań. Skuteczne metody leczenia i rehabilitacji dla lepszego samopoczucia.
Przewlekłe zapalenie woreczka żółciowego objawy: co musisz wiedzieć
Poznaj objawy przewlekłego zapalenia woreczka żółciowego, ich przyczyny oraz skuteczne metody leczenia. Dowiedz się, jak dieta może wpłynąć na Twoje samopoczucie.
Objawy uszkodzonego parownika klimatyzacji - jak je rozpoznać?
Zidentyfikuj objawy uszkodzonego parownika klimatyzacji, takie jak brak chłodzenia i wycieki. Dowiedz się, jak szybko rozpoznać problemy z klimatyzacją.
Demencja: objawy psychiczne, które mogą zaskoczyć bliskich
Poznaj najważniejsze objawy psychiczne demencji, które mogą zaskoczyć bliskich. Dowiedz się, jak rozpoznać zmiany i jak wspierać osoby chore.
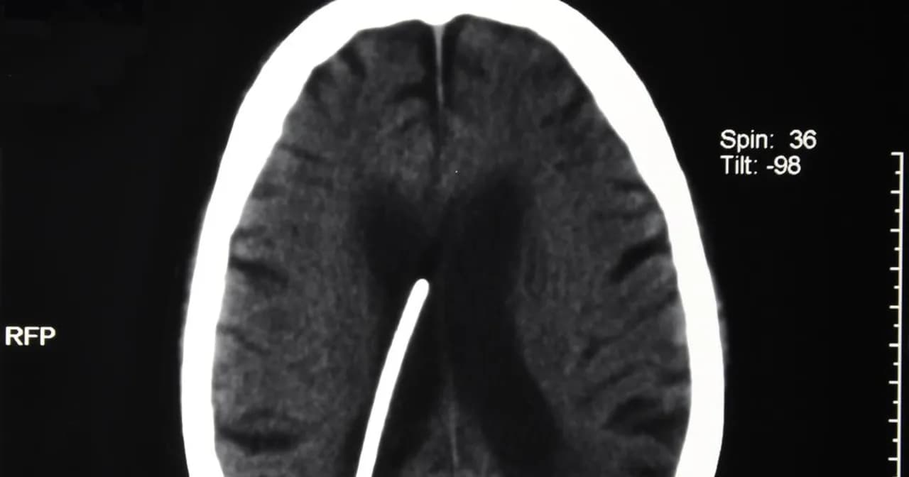
Wodogłowie u dorosłych objawy – jak je rozpoznać i uniknąć powikłań
Poznaj objawy wodogłowia u dorosłych, aby szybko je rozpoznać i uniknąć powikłań. Dowiedz się, jakie sygnały powinny budzić niepokój.
Objawy chorej wątroby u alkoholika - jak je rozpoznać i uniknąć zagrożeń
Poznaj najważniejsze objawy chorej wątroby u alkoholika. Dowiedz się, jak je rozpoznać i uniknąć poważnych zagrożeń zdrowotnych.
Padający rozrusznik objawy: jak rozpoznać problemy z uruchamianiem
Poznaj najważniejsze objawy padającego rozrusznika, które pomogą Ci w szybkiej diagnozie problemów z uruchamianiem silnika. Działaj, zanim będzie za późno!
Alergia na tle nerwowym objawy: jak stres wpływa na twoje zdrowie
Poznaj objawy alergii na tle nerwowym i dowiedz się, jak stres wpływa na twoje zdrowie. Zrozumienie tych zjawisk pomoże w skutecznym leczeniu.
Ucisk tętnicy kręgowej objawy - jak rozpoznać niebezpieczne sygnały
Poznaj objawy ucisku tętnicy kręgowej, takie jak bóle szyi i zawroty głowy. Dowiedz się, jak rozpoznać niebezpieczne sygnały i kiedy szukać pomocy.