Wodogłowie to poważny stan zdrowotny, który może dotknąć dorosłych i prowadzić do wielu poważnych komplikacji. Objawy wodogłowia u dorosłych są często niespecyficzne, co sprawia, że jego rozpoznanie bywa trudne. Wczesne zidentyfikowanie objawów jest kluczowe dla skutecznego leczenia i zapobiegania uszkodzeniom mózgu.
Osoby cierpiące na wodogłowie mogą doświadczać takich objawów jak bóle głowy, wymioty, a także trudności w koncentracji. W przypadku wodogłowia normotensyjnego występuje charakterystyczna triada objawów, która dodatkowo utrudnia diagnozę. Dlatego ważne jest, aby znać te objawy i reagować na nie jak najszybciej.
Kluczowe informacje:- Wodogłowie u dorosłych objawia się bólami głowy, wymiotami i nudnościami.
- Triada Hakima obejmuje otępienie, ataksję i nietrzymanie moczu.
- Objawy wodogłowia są często niespecyficzne, co utrudnia diagnozę.
- Wczesne leczenie jest kluczowe dla uniknięcia uszkodzenia mózgu.
- Wodogłowie może prowadzić do poważnych komplikacji zdrowotnych, jeśli nie jest leczone.
Objawy wodogłowia u dorosłych – jak je skutecznie rozpoznać
Wodogłowie to poważny stan, który może dotknąć dorosłych i prowadzić do wielu problemów zdrowotnych. Rozpoznanie objawów wodogłowia jest kluczowe dla skutecznego leczenia i zapobiegania powikłaniom. Wczesne zauważenie symptomów może uratować życie i zapobiec uszkodzeniu mózgu.
Objawy wodogłowia u dorosłych są często niespecyficzne i mogą być mylone z innymi schorzeniami. Dlatego tak ważne jest, aby być świadomym, na co zwracać uwagę. Wśród najczęstszych symptomów znajdują się bóle głowy, wymioty oraz zaburzenia widzenia.
Najczęstsze objawy wodogłowia – co powinno budzić niepokój
Wodogłowie u dorosłych objawia się szeregiem symptomów, które mogą wskazywać na poważne problemy zdrowotne. Bóle głowy są jednym z najczęstszych objawów, które mogą być intensywne i przewlekłe. Osoby cierpiące na wodogłowie często skarżą się na wymioty oraz nudności, które mogą być wynikiem wzrostu ciśnienia wewnątrzczaszkowego.
Inne istotne objawy to zaburzenia widzenia, które mogą objawiać się jako rozmycie obrazu lub podwójne widzenie. Dodatkowo, pacjenci mogą doświadczać trudności w koncentracji oraz otępienia, co znacząco wpływa na ich codzienne funkcjonowanie. Nietrzymanie moczu i nadmierna senność to kolejne objawy, które mogą się pojawić w bardziej zaawansowanych stadiach choroby.
- Bóle głowy
- Wymioty i nudności
- Zaburzenia widzenia
- Trudności w koncentracji
- Otępienie
- Nietrzymanie moczu
- Nadmierna senność
Rzadziej występujące objawy – na co zwrócić uwagę
Choć niektóre objawy wodogłowia są powszechne, istnieją także rzadziej występujące symptomy, które mogą być równie niepokojące. Na przykład, ataksja, czyli trudności w koordynacji ruchów, może wystąpić, gdy wodogłowie prowadzi do uszkodzenia mózgu. Osoby dotknięte tym schorzeniem mogą mieć problemy z utrzymaniem równowagi.
Kolejnym rzadziej występującym objawem jest depresja, która może być wynikiem chronicznego bólu i dyskomfortu. Warto również zwrócić uwagę na zmiany osobowości, które mogą wystąpić w wyniku postępującego uszkodzenia mózgu. Jeśli zauważysz te objawy, niezwłocznie skonsultuj się z lekarzem.
Przyczyny wodogłowia u dorosłych – zrozumienie źródeł problemu
Wodogłowie u dorosłych może być wynikiem różnych czynników, które prowadzą do gromadzenia się płynu mózgowo-rdzeniowego w mózgu. Zrozumienie przyczyn wodogłowia jest kluczowe, aby skutecznie zapobiegać temu schorzeniu i podejmować odpowiednie działania. Wiele z tych przyczyn jest związanych z urazami lub chorobami neurologicznymi.
Urazy głowy, takie jak wstrząśnienie mózgu, mogą prowadzić do powstawania wodogłowia. Ważne jest, aby być świadomym, że niektóre choroby neurologiczne również mogą przyczyniać się do rozwoju tego stanu. Dlatego istotne jest monitorowanie swojego zdrowia i zwracanie uwagi na wszelkie niepokojące objawy.
Jak urazy głowy wpływają na rozwój wodogłowia
Urazy głowy są jedną z głównych przyczyn wodogłowia. Wstrząśnienie mózgu lub inne poważne urazy mogą uszkodzić struktury mózgu, co prowadzi do nieprawidłowego wchłaniania płynu mózgowo-rdzeniowego. W rezultacie płyn ten gromadzi się, co prowadzi do zwiększonego ciśnienia wewnątrzczaszkowego.
W przypadku poważnych urazów, takich jak złamanie czaszki, może dojść do uszkodzenia komór mózgowych, co również sprzyja rozwojowi wodogłowia. Osoby, które doświadczyły urazów głowy, powinny być szczególnie czujne na objawy wodogłowia, aby uniknąć poważnych komplikacji zdrowotnych.
Wpływ chorób neurologicznych na wystąpienie wodogłowia
Choroby neurologiczne, takie jak stwardnienie rozsiane czy guzy mózgu, mogą prowadzić do wodogłowia poprzez zakłócenie normalnego przepływu płynu mózgowo-rdzeniowego. Te schorzenia mogą powodować blokady w układzie komorowym mózgu, co skutkuje jego gromadzeniem się.
Warto również wspomnieć o normotensyjnym wodogłowiu, które często występuje u osób starszych i jest związane z innymi schorzeniami neurologicznymi. Zrozumienie wpływu tych chorób na rozwój wodogłowia jest kluczowe dla skutecznej diagnostyki i leczenia, co może znacząco poprawić jakość życia pacjentów.Czytaj więcej: Objawy rotawirusa u dziecka szczepionego – co musisz wiedzieć?
Triada Hakima – kluczowe objawy normotensyjnego wodogłowia
Triada Hakima to zestaw trzech kluczowych objawów, które mogą wskazywać na normotensyjne wodogłowie. Objawy te obejmują otępienie, ataksję oraz nietrzymanie moczu. Otępienie objawia się trudnościami w myśleniu, pamięci oraz podejmowaniu decyzji, co znacząco wpływa na codzienne życie pacjentów. Ataksja to zaburzenie koordynacji ruchowej, które może prowadzić do problemów z równowagą i chodem. Nietrzymanie moczu jest kolejnym objawem, który często występuje w tym schorzeniu.
Ważne jest, aby osoby doświadczające tych objawów jak najszybciej skonsultowały się z lekarzem. Wczesne rozpoznanie i interwencja mogą znacząco poprawić jakość życia pacjentów. Poniżej przedstawiamy porównanie objawów normotensyjnego wodogłowia z innymi typami.
| Objawy | Normotensyjne wodogłowie | Inne typy wodogłowia |
| Otępienie | Tak | Czasami |
| Ataksja | Tak | Rzadko |
| Nietrzymanie moczu | Tak | Nie |
| Bóle głowy | Nie | Tak |
| Wymioty | Nie | Tak |
Komplikacje wodogłowia – dlaczego wczesna diagnoza jest ważna
Wczesna diagnoza wodogłowia jest kluczowa, aby uniknąć poważnych komplikacji zdrowotnych. Nieleczone wodogłowie może prowadzić do trwałego uszkodzenia mózgu, co z kolei może skutkować niepełnosprawnością. Osoby z wodogłowiem są również narażone na inne powikłania, takie jak problemy z równowagą, trudności w mówieniu oraz zaburzenia psychiczne.
Ważne jest, aby osoby z podejrzeniem wodogłowia nie odkładały wizyty u lekarza. Wczesna interwencja może znacznie poprawić rokowania pacjentów. Im szybciej rozpoczęte zostanie leczenie, tym mniejsze ryzyko wystąpienia poważnych problemów zdrowotnych.Jakie są potencjalne powikłania zdrowotne wodogłowia
Wodogłowie, jeśli nie jest leczone, może prowadzić do wielu poważnych powikłań zdrowotnych. Należy do nich m.in. trwałe uszkodzenie mózgu, które może prowadzić do zaburzeń poznawczych i emocjonalnych. Pacjenci mogą doświadczać trudności w uczeniu się, a także problemów z pamięcią.
Inne potencjalne powikłania to zaburzenia równowagi oraz trudności w mówieniu. W skrajnych przypadkach, wodogłowie może prowadzić do śmierci w wyniku poważnych uszkodzeń mózgu. Dlatego tak ważne jest, aby osoby z objawami wodogłowia jak najszybciej zgłaszały się do specjalisty.

Kiedy szukać pomocy medycznej – ważne sygnały ostrzegawcze
Osoby doświadczające objawów wodogłowia powinny być świadome, kiedy należy szukać pomocy medycznej. Ważne sygnały ostrzegawcze to nagłe i silne bóle głowy, które mogą być związane z innymi objawami, takimi jak wymioty czy zaburzenia widzenia. Jeśli zauważysz u siebie lub kogoś bliskiego te objawy, nie czekaj – skonsultuj się z lekarzem.Metody diagnostyczne – jak lekarze rozpoznają wodogłowie
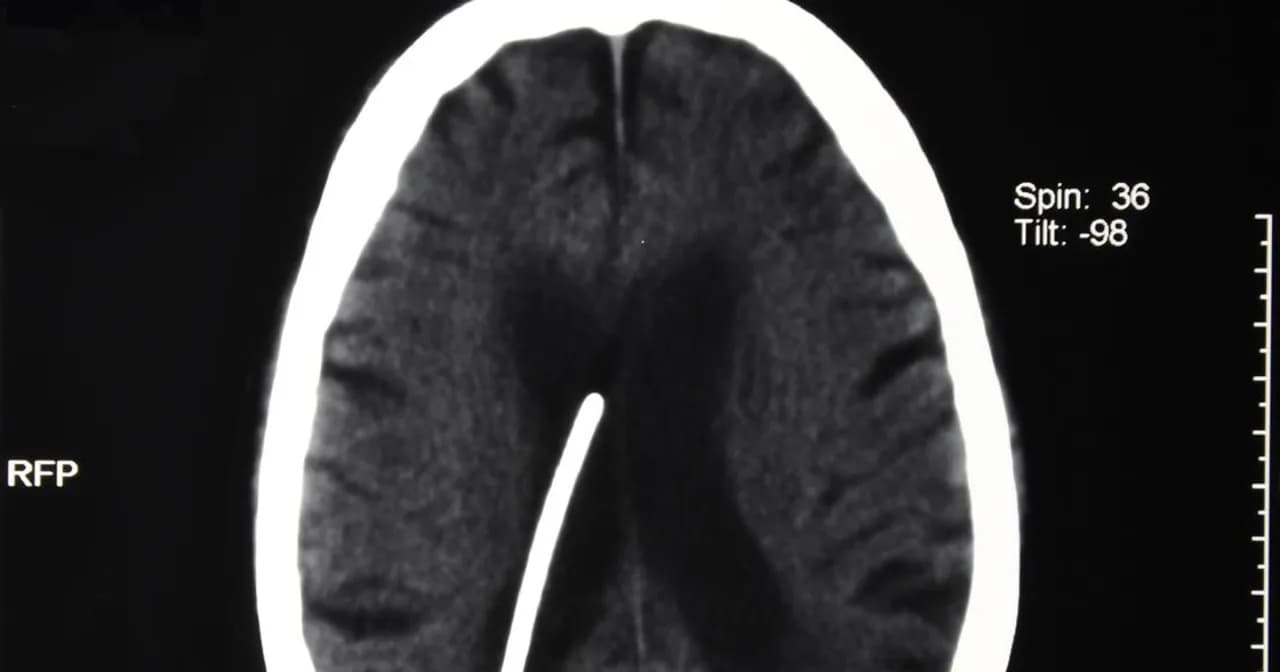
Rozpoznanie wodogłowia u dorosłych opiera się na różnych metodach diagnostycznych. Lekarze często zaczynają od szczegółowego wywiadu medycznego, aby zrozumieć objawy pacjenta. Następnie mogą zlecić badania obrazowe, takie jak rezonans magnetyczny (MRI) lub tomografia komputerowa (CT), które pozwalają ocenić stan mózgu i obecność płynu mózgowo-rdzeniowego.
Oprócz badań obrazowych, lekarze mogą również przeprowadzać testy neurologiczne, aby ocenić funkcje mózgu oraz koordynację ruchową pacjenta. Wczesne diagnozowanie jest kluczowe, aby rozpocząć odpowiednie leczenie i zminimalizować ryzyko powikłań zdrowotnych.
Wczesna diagnoza wodogłowia kluczem do uniknięcia powikłań
Wczesna diagnoza wodogłowia jest niezwykle istotna, ponieważ może zapobiec poważnym powikłaniom zdrowotnym, takim jak trwałe uszkodzenie mózgu czy zaburzenia równowagi. Objawy, takie jak nagłe bóle głowy, wymioty oraz trudności w koncentracji, powinny być sygnałem do natychmiastowej konsultacji z lekarzem. W artykule podkreślono, że im szybciej rozpocznie się leczenie, tym mniejsze ryzyko wystąpienia groźnych komplikacji, które mogą znacznie obniżyć jakość życia pacjentów.
Triada Hakima, obejmująca otępienie, ataksję oraz nietrzymanie moczu, jest kluczowym zestawem objawów normotensyjnego wodogłowia, które również wymaga szybkiej diagnozy. W artykule zwrócono uwagę na to, że ignorowanie tych symptomów może prowadzić do poważnych konsekwencji zdrowotnych. Dlatego tak ważne jest, aby osoby z objawami wodogłowia były świadome potrzeby szybkiego działania i konsultacji medycznej, co może znacząco poprawić ich rokowania.






